Mycena purpureofusca
Mycena purpureofusca (Peck) Sacc., Syll. fung. (Abellini) 5: 255 (1887)
Home
zurück
Bild = K.Wehr, 12.03.20 Depot
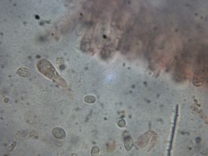
Lamellen Schneiden gefärbt
Cheilocystiden mit Saft gefüllt
Sporengröße: 9,2 - 10 x 7 - 7,9 µm
Mycena adonis
Mycena adscendens
Mycena alphitophora
Mycena arcangeliana
Mycena corynephora
Mycena inclinata
Mycena meliigena
Mycena nucicola
Mycena pseudocorticola
Mycena renati
Mycena rhenana
Mycena smithiana
Mycena stylobates
Resinomycena saccharifera
Roridomyces roridus
Resinomycena erubescens
Mycena clavularis
Mycena algeriensis
Mycena galericulata var. candicans
.
Mycena interrupta
Gefunden: 05.08.2025 in Mönchengladbach, Volksgarten MTB 4804/2, bei Lärche
leg. H.Bender. det. H.Bender